Korrekturen von Zehendeformitäten
Wir legen täglich im Durchschnitt 10.000 bis 15.000 Schritte zurück und belasten unsere Füße mit mehreren hundert Tonnen. Kein anderer Körperteil ist einem so hohen mechanischen Stress ausgesetzt. Dennoch werden Fußprobleme häufig stiefmütterlich behandelt. Viele Patienten glauben, daß man bei Fußschmerzen "sowieso nur" eine Einlage verordnet bekommt. Die Therapie von angeborenen und erworbenen Deformitäten, Erkrankungen und Verletzungen des Fußes hat in den letzten Jahren deutlich an Interesse und Bedeutung gewonnen. Neue Methoden, die eine differenzierte Behandlung von Fußerkrankungen ermöglichen, sind hinzugekommen.
Der Hallux valgus, auch schmerzhafter Großzehenballen genannt, ist die bei weitem verbreitetste Deformität an der unteren Extremität, wobei Frauen deutlich häufiger betroffen sind als Männer. Für die Entstehung sind meist mehrere Ursachen verantwortlich. Als sicher gilt ein direkter oder indirekter Einfluss von Erbfaktoren. Äußere Einflüsse, wie etwa unsachgemäßes Schuhwerk, begünstigen die Entwicklung eines Hallux valgus. Es kommt – unabhängig von der Ursache – zu einer Änderung der Mechanik und Muskelwirkung an der Großzehe, die nicht selten in einer völlig Kontrakten Fehlstellung mit Arthrose im Großzehengrundgelenk enden. Eine rechtzeitige Therapie kann dem entgegen wirken. Leider kommen viele Patienten erst zum Arzt, wenn sie gar nicht mehr laufen können.
Abb.1: a Fortgeschrittene Hallux valgus Fehlstellung. Die Großzehe ist verdreht und verdrängt die zweite Zehe. Der Vorfuß ist verbreitert.
b Normaler Fuß
Individuelle Therapiekonzepte in der Behandlung des Hallux valgus (schmerzhafter Großzehenballen) ermöglichen die anatomische Rekonstruktion und die verlorengegangene Funktion wieder herzustellen. Alter und Aktivität der Patienten werden in der Behandlung berücksichtigt.

Abb.2: Korrektur einer leichten Hallux valgus Fehlstellung durch eine Chevron Osteotomie (Distale Metatarsale I Osteotomie) mit versenkter Schraube. Der Vorfuß wurde verschmälert und die Knochenachsen begradigt.

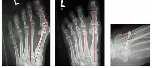
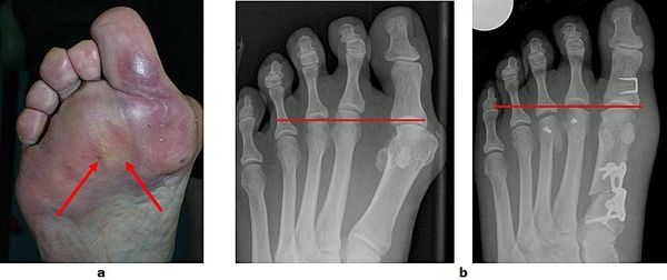
Abb.3: a Korrektur einer mittelschweren Hallux valgus Fehlstellung durch eine Basisosteotomie.
b Korrektur einer schweren Hallux valgus Fehlstellung mit luxierten Krallenzehen und chronischer Metatarsalgie durch eine Lapidus Arthrodese. Mit dieser Technik können selbst hochgradige Fehlstellungen begradigt werden. Bei beiden Techniken wird der Knochen wird mit einer winkelstabilen Platte fixiert. Dies bietet ein höchstes Maß an Stabilität und ermöglicht die sofortige postoperative Belastung.

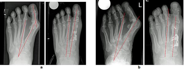
Abb.4: Klinische Dokumentation einer mittelschweren Hallux valgus Fehlstellung.
a Vor der Operation
b Rechter Fuß 7 Wochen postoperativ und linker Fuß 6 Monate postoperativ
Gelenkerhaltende Verfahren mit postoperativ erlaubter Vollbelastung bieten einen maximalen Komforteffekt für den Patienten.
Spezielles Instrumentarium ermöglicht kleine Hautschnitte und verkürzt die Operationszeiten. Auch die Korrektur schwerster Deformitäten können ambulant oder kurzstationär durchgeführt werden. Bei Bedarf besteht die Möglichkeit einer kontrollierten stationären Therapie.
Eine Arthrose des Großzehengrundgelenkes (Hallux rigidus) kann sehr schmerzhaft sein und die normale Fortbewegung stark beeinträchtigen. Die Therapie ist abhängig vom Stadium der Erkrankung. Bei milden Arthrosen mit nur endgradigen Bewegungseinschränkungen kann trotz des Knorpelverfalls häufig gelenkerhaltend therapiert werden. Die Methode wird als Cheilektomie bezeichnet. Es werden überstehende Knochenvorsprünge (Osteophyten) abgetragen und die Gelenkflächen verjüngt. Das Bewegungsausmaß wird verbessert und die Schmerzen deutlich reduziert. Liegt neben der Arthrose auch eine Fehlstellung (Hallux valgus) vor kann der Eingriff mit einer Korrektur der Zehenstellung kombiniert werden.

Abb.5: Großzehengrundgelenk mit Arthrose und Knochenanbauten. Die mit dem Pfeil markierten Anbauten werden bei der Cheilektomie abgetragen.
Bei fortgeschrittenen schmerzhaften Arthrosen bieten wir neben der Fusion (Arthrodese) des Gelenkes eine rekonstruktive Versorgung mit einer Endoprothese an.
Die Fusion führt zu einer deutlichen Verbesserung der Schmerzsituation, jedoch kann die komplette Aufhebung der Beweglichkeit im Großzehengrundgelenk hinderlich sein. Die Auswahl des Schuhwerks ist limitiert und das Barfuss laufen ist eingeschränkt. Im Laufe der Zeit können Schmerzen in überlasteten Nachbargelenken auftreten und zu sog. Anschlussarthrosen führen.

Abb.6: Fusion eines Großzehengrundgelenkes mit Korrektur der Hallux valgus Fehlstellung
Die rekonstruktive Versorgung mit einer Endoprothese ermöglicht dem Patienten im Vergleich zur Fusion eine schnellere Mobilisation mit Erhalt des Abrollvorgangs. Eine Vollbelastung ist bereits direkt nach dem operativen Eingriff erlaubt. Dennoch eignet sich nicht jedes Gelenk für eine Endoprothese. In Fällen von erheblichen Knochenverformungen oder spezifischen Knochenerkrankungen (Infektion, Osteonekrose) ist weiterhin die Versteifung die Therapie der Wahl. Die Entscheidung welches Verfahren am sinnvollsten ist hängt auch von dem Bewegungsradius im Großzehengrundgelenk und den Längenverhältnissen der Zehen ab.
Abb.7: Implantation einer Endoprothese Typ Hemi CAP im Großzehengrundgelenk.
a Schema und Modell
b Röntgenbilder Vor und nach der Operation
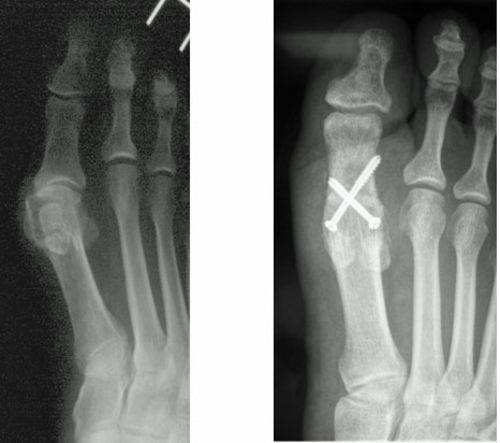
Der schmerzhafte Kleinzehenballen ist eine nicht seltene Begleiterkrankung des Hallux valgus und kommt häufig kombiniert mit einem Spreizfuß vor. Die Prominenz des fünften Mittelfußköpfchens führt zu Druckbeschwerden im Schuh aus denen eine schmerzhafte Behinderung beim Gehen resultieren kann. Breites Schuhwerk und spezielle Polster können vorübergehend die Symptome lindern. Durch eine Begradigung des fünften Mittelfußknochens kann die Fehlstellung behoben werden. Es kommen verschiedene Verfahren je nach Ausprägung der Deformität zur Anwendung.

Abb.8: Korrektur des schmerzhaften Kleinzehenballen (Schneiderballen, Taylors bunion) durch die Kombination einer basisnahen Korrektur und einer Chevronette Osteotomie.
a Fehlstellungswinkel vor der Operation.
b Die Knochenachsen sind wieder parallel und der Vorfuß verschmälert.
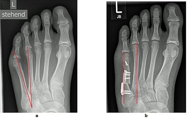
Kleinzehendeformitäten (Krallen- und Hammerzehen) treten häufig als Begleiterkrankungen der o.g. Fehlstellungen auf. Nicht selten führen sie den Patienten zum Arzt und nicht die Hallux valgus Fehlstellung. Meistens sind die zweite und dritte Zehe betroffen. Durch die Verformung der Zehe entstehen Hühneraugen (Clavi) und Verhornungen an den Zehenbeeren mit schmerzhaften Nagelveränderungen. Eine konservative Therapie erfolgt mit Zügelverbänden und Ringpolstern. Bei der operativen Korrektur unterscheidet man zwischen gelenkerhaltenden Sehnenverlagerungen bei flexiblen Zehen und Eingriffen am Gelenk bei bereits fixierten Deformitäten.

Abb.9: a Fixierte Krallenzehenfehlstellung mit Clavus (Hühnerauge).
b Der störende Knochen wird entfernt (Resektionsarthroplastik nach Hohmann)
Eine weitere Begleiterkrankung des Spreizfußes ist die Metatarsalgie. Es handelt sich um ein weit verbreitetes Beschwerdebild bei dem es zu belastungsabhängigen Schmerzen unter den Mittelfußköpfchen kommt. In fortgeschrittenen Stadien der Erkrankung ist eine Schwielenbildung sichtbar. Die Beschwerden können in den Anfangsstadien mit einer Einlage nach Maß und einer Schmetterlingsrolle am Schuh gut behandelt werden. Bestehen bei ausgeschöpfter konservativer Therapie noch Beschwerden erfolgt eine operative Verlagerung der Mittelfußköpfchen um den Druck unter dem Vorfuß zu reduzieren.

Abb.10: a Schmerzhafte Schwielenbildung unter dem Vorfuß.
b Wiederherstellung der Längenverhältnisse zwischen dem ersten, zweiten und dritten Strahl durch eine Rückverlagerung der Mittelfußköpfchen zwei und drei. Zeitgleich wurde auch der Hallux valgus korrigiert.

