Erkrankungen des Rückfußes (Achillessehne, Peronealsehne, Haglund Ferse, Fersensporn)
Wir Leben in einem Zeitalter in dem immer mehr Menschen aktiv Sport treiben. Viele Menschen überschätzen ihren Körper und starten die neue Aktivität ohne eine professionelle Untersuchung oder Beratung. Die Folgen sind Verletzungen, Überlastungen und chronische Schäden. Die Achillessehne ist von dieser Entwicklung besonders häufig betroffen, seltener auch die Peronealsehnen. Wesentlich häufiger als ein plötzlicher Riss der Sehne sind chronische Entzündungen mit Schmerzen und Schwellungen. Die intensiven Forschungsarbeiten in den letzten Jahren auf diesem Gebiet haben das Behandlungsregime stark beeinflusst. Ziel jeder Behandlung ist die Wiederherstellung der Funktion in kürzester Zeit. Die konservative Therapie ist vielfältig und reicht vom exzentrischen Krafttraining über die Stoßwellentherapie bis hin zu speziellen physiotherapeutischen Maßnahmen wie z.B. die Querfriktion. Initial können diese Maßnahmen medikamentös unterstützt werden.
Abb.1: Zeichen einer chronischen Sehnenerkrankung (Achyllodynie). Im Seitenvergleich erkennt man die verdickte Sehne rechts.
Bei chronischen Entzündungen können sich in der Sehne schmerzhafte Verkalkungen ablagern. Hat der Kalkherd eine gewisse Größe erreicht, hilft häufig nur noch die operative Sanierung. In einem solchen Eingriff werden zeitgleich Maßnahmen getroffen um die Sehne zu stabilisieren (Durchflechtungsnaht, Augmentation). Der akute Riss der Achillessehne (Achillessehnenruptur) kann konservativ oder operativ behandelt werden. Entscheidend für die Verfahrenswahl ist die dynamische Ultraschalluntersuchung durch den Experten. Je nach Ausprägung der Verletzung können minimalinvasive Verfahren zur Anwendung kommen. Für die Peronealsehnerkrankungen gilt das gleiche Therapieprinzip.

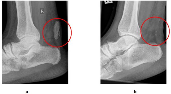
Abb.2: a Großer Kalkherd in der Sehne. b Röntgenbild nach der operativen Entfernung unter Erhalt der Sehne.
Neben den zentralen Achillessehnenbeschwerden kann auch der Sehnenansatz am Fersenbein schmerzhaft verändert sein. Eine Schleimbeutelentzündung (Bursitis) führt zu einer Schwellung in dem Bereich mit nachfolgenden Schwielenbildungen und Druckschmerzen in Höhe der Fersenkappe im Schuh. Verantwortlich für die Beschwerden ist eine knöcherne Veränderung am Fersenbein, die auch als Haglund Exostose (Haglund Ferse) bezeichnet wird. Eine lokale Schmerztherapie und kleine Modifikationen am Schuhwerk helfen die Beschwerden zu mindern. Bei chronischen Schmerzen kann der knöcherne Überstand abgetragen werden.

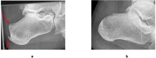
Abb.3: a Sehnensporn und Haglund Exostose im präoperativen Röntgenbild. b Das Fersenbein ist modelliert und die störenden Knochenüberstände wurden entfernt. Der Patient kann wieder schmerzfrei laufen.
Die häufigste Erkrankung im Bereich der Ferse ist die Fasziitis plantaris (Entzündung der plantaren Faszie), zu deutsch der sog. Fersensporn. Die deutsche Übersetzung ist etwas unglücklich gewählt da tatsächlich nur 50 % der Patienten in der seitlichen Röntgenaufnahme einen knöchernen Sporn zeigen. Die Therapie besteht in der Verordnung einer Spezialeinlage mit Fersenweichbettung und Abstützung des Fußlängsgewölbes, einer temporären medikamentösen Schmertherapie, und vor allem Dehnungsübungen der Zehen- und Wadenmuskulatur. Die Stoßwellentherapie zeigt nachweisliche Erfolge. Eine lokale Spritzentherapie kann im Einzelfall durch den Experten durchgeführt werden.


